Opciones de Estilo
Opciones de Encabezado
Oscuro Claro

Cerrar
1
WhatsApp
WhatsApp

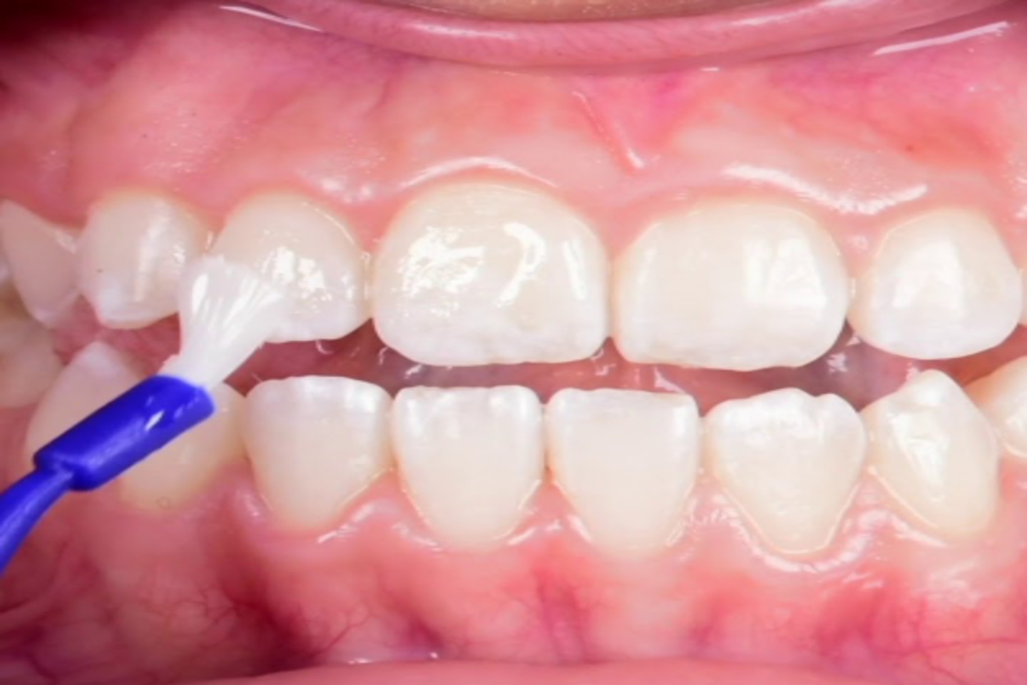
Blanqueamiento Dental

Transforma tu sonrisa eliminando manchas y devolviendo a tus dientes su blanco natural con un tratamiento estético seguro, moderno y profesional.

¿Qué Incluye el Tratamiento?

Evaluación Inicial

Evaluación Inicial

Antes de comenzar el tratamiento, realizamos una evaluación completa para determinar el estado de tus dientes evaluando a su vez pigmentaciones.

Blanqueamiento en Clínica

Blanqueamiento en Consultorio

Utilizamos geles blanqueadores de alta calidad y tecnologías avanzadas para obtener resultados inmediatos y seguros en nuestro consultorio.

Remineralización Post-Blanqueamiento

Post-Blanqueamiento

Aplicamos flúor y calcio para fortalecer el esmalte y reducir la posible sensibilidad dental de forma eficaz después del tratamiento de blanqueamiento.

Mantenimiento

Mantenimiento

Te damos recomendaciones y productos para mantener los resultados del blanqueamiento a largo plazo, cuidando el color alcanzado.

Beneficios del Blanqueamiento Dental

El blanqueamiento dental no solo mejora la estética de tu sonrisa, sino que también incrementa tu confianza y satisfacción personal.

Sonrisa Renovada

Elimina las manchas causadas por alimentos, bebidas y tabaco, logrando un aspecto mucho más joven y totalmente saludable.

Resultados Inmediatos

Disfruta de dientes considerablemente más blancos con resultados visibles desde la primera sesión en nuestra clínica.

Tratamiento Seguro

Usamos técnicas avanzadas, seguras y altamente efectivas que cuidan y protegen el esmalte natural de tus dientes.